Rachael Wagner

Science has always been a passion of mine. Now that I get to share that by teaching, it is the great gift!

Placed 12th

in their group

Thank you for supporting Rachael Wagner in this year's competition. Your donations and participation will benefit The Planetary Society in their mission to advance space exploration, inspire discovery, and empower the next generation of innovators.

 

Tell us why you became a teacher

I always knew helping other was my calling. As a kid, I loved school and always loved my teachers. I had a classroom in my basement and I would make my brother be my student. Since, I started my teaching career, I’m reminded everyday that I’m in the right spot.

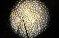
Tell us about your most memorable teaching experience

My most memorable teaching experience was a lab I did with my students. We were learning about photosynthesis and I was teaching them about stomata’s. We got to view stomata under a microscope from our classroom plants. I saw every student was engaged and they loved it! They still talk about that lab to this day!

What would you do with the $25,000?

I would donate a good portion to a charity that supports wildlife conservation. I would also give my students a pizza or donut party to celebrate!

Powered By Colossal

Colossal is a nationally registered professional fundraiser that inspires people to advocate for themselves and those in need. Through online competitions like America's Favorite Teacher, Colossal offers participants the opportunity to make their mark while also making a big impact.

Learn More